Our Services

Google Review of Braces Dental center Dr. Rakesh Verma is 4.9

Location: Lajpat Nagar, New Delhi

Our Services

We offer the latest in orthodontic treatment, including Invisible braces (Lingual braces), customized lingual brackets and wires( i-Braces), and clear aligner technologies. Cosmetic dental treatments like ZOOM teeth whitening, esthetic tooth laminates & smile designing.

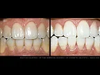
  • Invisible braces (Lingual braces)
  • Customized lingual brackets and wires (i-Braces)
  • ZOOM teeth whitening
  • Esthetic tooth laminates
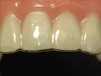
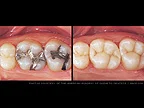
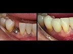
  • Smile designing
  • Laser Treatment
  • A to Z Dental Treatment

BESPOKE PROCEDURES

Customized procedures and therapies tailored to individual patients.

PREMIUM SERVICES

Superior treatments, finest products, and personalized attention.

PRICING & SPECIAL OFFERS

Our commitment is to offer high-quality beauty services at competitive prices, ensuring accessibility for all.